Τα αποτελέσματα νέας μελέτης σε γυναίκες, κατέληξαν στο ότι όσες καταναλώνουν περισσότερα UPFs αυξάνουν τις πιθανότητες για πρώιμη εμφάνιση πολύποδα που μπορεί να εξελιχθεί σε καρκίνο στο έντερο.
Γυναίκες κάτω των 50 ετών που ακολουθούν διατροφή πλούσια σε υπερ-επεξεργασμένα τρόφιμα (UPFs) εμφανίζουν μεγαλύτερο κίνδυνο να αναπτύξουν ανώμαλες αναπτύξεις στο έντερο-πολύποδες που μπορεί να οδηγήσουν σε καρκίνο- σύμφωνα με τα ευρήματα του Δρ. Andrew Chan, επικεφαλής της έρευνας στο Massachusetts General Hospital και της ομάδας του.
«Τα υπερ-επεξεργασμένα τρόφιμα ορίζονται συνήθως ως βιομηχανικά προϊόντα, έτοιμα προς κατανάλωση, με ελάχιστη περιεκτικότητα σε τρόφιμα ολικής μορφής, φυτικές ίνες και βιταμίνες, και υψηλή σε κορεσμένα λιπαρά, ζάχαρη, αλάτι και πρόσθετα», γράφει ο Guardian.
Προγενέστερες μελέτες έχουν συνδέσει την κατανάλωσή τους με πληθώρα προβλημάτων υγείας, από αυξημένο κίνδυνο καρδιοπάθειας έως και πρόωρη θνησιμότητα.
Τώρα, οι ερευνητές αναφέρουν ότι οι γυναίκες που καταναλώνουν περισσότερα UPFs παρουσιάζουν αυξημένο κίνδυνο για πρώιμη εμφάνιση μιας συχνής μορφής πολύποδα του εντέρου, γνωστής ως συμβατικό αδένωμα.
UPFs τρόφιμα και καρκίνος του εντέρου: Η έρευνα του Δρ. Andrew Chan
Ο Δρ. Andrew Chan, επικεφαλής της έρευνας στο Massachusetts General Hospital, δήλωσε ότι η μελέτη ξεκίνησε ως προσπάθεια κατανόησης των αιτιών πίσω από την αύξηση των κρουσμάτων καρκίνου του εντέρου σε νεαρά άτομα.
«Η μεγάλη πλειονότητα αυτών των πολυπόδων δεν εξελίσσονται σε καρκίνο. Ταυτόχρονα όμως γνωρίζουμε ότι οι περισσότεροι καρκίνοι εντέρου σε νεαρά άτομα ξεκινούν από αυτές τις προκαρκινικές αλλοιώσεις», είπε.
Στο άρθρο τους στο JAMA Oncology, ο Chan και οι συνεργάτες του περιγράφουν πώς ανέλυσαν δεδομένα από τη μακροχρόνια αμερικανική μελέτη Nurses’ Health Study II, η οποία ξεκίνησε το 1989 και περιλάμβανε γυναίκες γεννημένες μεταξύ 1947 και 1964.
Από το 1991, οι συμμετέχουσες συμπλήρωναν ανά τετραετία ερωτηματολόγιο διατροφής, αναφέροντας τη συχνότητα κατανάλωσης συγκεκριμένων τροφών κατά το τελευταίο έτος.
UPFs τρόφιμα και καρκίνος του εντέρου: Η ανάλυση δεδομένων 29.105 γυναικών
Η ομάδα μελέτησε δεδομένα 29.105 γυναικών που είχαν συμπληρώσει τα ερωτηματολόγια, είχαν υποβληθεί τουλάχιστον μία φορά σε κολονοσκόπηση μετά το 1991 και δεν είχαν ιστορικό πολυπόδων, φλεγμονώδους νόσου του εντέρου ή άλλης μορφής καρκίνου πλην του βασικοκυτταρικού καρκίνου του δέρματος.
Οι ερευνητές τις παρακολούθησαν έως τον Ιούνιο του 2015, όταν όλες είχαν φτάσει τα 50. Έως τότε είχαν καταγραφεί 1.189 περιπτώσεις πρώιμων συμβατικών αδενωμάτων και 1.598 περιπτώσεις μιας άλλης μορφής πολύποδα, των οδοντωτών βλαβών.
Οι συμμετέχουσες χωρίστηκαν σε πέντε ομάδες ως προς την κατανάλωση UPFs. Σε σύγκριση με την ομάδα που κατανάλωνε τα λιγότερα (κατά μέσο όρο 3,3 μερίδες ημερησίως), η ομάδα με τη μεγαλύτερη κατανάλωση (9,9 μερίδες ημερησίως) είχε 45% υψηλότερο κίνδυνο εμφάνισης συμβατικών αδενωμάτων, αφού λήφθηκαν υπόψη παράγοντες όπως το BMI, το κάπνισμα και η φυσική δραστηριότητα.
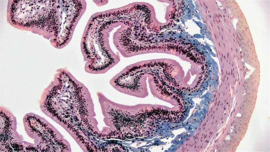
Ωστόσο, δεν διαπιστώθηκε αυξημένος κίνδυνος για οδοντωτές βλάβες. Η «οδοντωτή βλάβη» αναφέρεται συνήθως στην οδοντωτή αλλοίωση ή τον οδοντωτό πολύποδα που εμφανίζεται στον βλεννογόνο του παχέος εντέρου. Αυτές οι βλάβες είναι η δεύτερη πιο συχνή προδρομική μορφή καρκίνου του παχέος εντέρου και είναι συχνά επίπεδες ή άμισχες, με δυσκολία εντοπισμού λόγω της κάλυψής τους από βλέννη.
Η μελέτη έχει περιορισμούς: βασίζεται στην ανάμνηση των συμμετεχουσών για το τι κατανάλωναν, επηρεάζεται από δυσκολίες στην ακριβή ταξινόμηση των τροφών ως UPFs, δεν εξετάζει την εμφάνιση καρκίνου του εντέρου καθ’ εαυτήν και δεν μπορεί να αποδείξει ότι τα UPFs προκαλούν πολύποδες.
«Δεν σημαίνει ότι αν καταναλώνετε UPFs θα αναπτύξετε καρκίνο»
Παρόλα αυτά, ο Chan σημείωσε ότι υπάρχουν πιθανοί βιολογικοί μηχανισμοί που ενισχύουν τα ευρήματα: τα UPFs έχουν συνδεθεί με μεταβολικές διαταραχές, την παχυσαρκία και τον διαβήτη τύπου 2 – παράγοντες που σχετίζονται με αυξημένο κίνδυνο καρκίνου του εντέρου. Επίσης, μπορεί να προάγουν χρόνια φλεγμονή ή να επηρεάζουν το μικροβίωμα και τον βλεννογόνο του εντέρου.
Ο Chan πρόσθεσε ότι είναι πιθανό τα αποτελέσματα να ισχύουν και για τους άνδρες, αν και απαιτείται περαιτέρω έρευνα.
«Αυτό δεν σημαίνει ότι αν καταναλώνετε UPFs θα αναπτύξετε καρκίνο. Δεν είναι αυτό το μήνυμά μας», είπε. «Αλλά αποτελεί ένα κομμάτι του παζλ για το τι μπορεί να οδηγεί στην αύξηση των ποσοστών καρκίνου».
Η Fiona Osgun, επικεφαλής ενημέρωσης του Cancer Research UK, δήλωσε ότι αν και η μελέτη δεν μετρά άμεσα τον κίνδυνο καρκίνου, προσφέρει χρήσιμες ενδείξεις για το πώς η διατροφή μπορεί να επηρεάζει τις πρώιμες μεταβολές στο έντερο που ενίοτε οδηγούν σε καρκίνο.
Τόνισε ακόμη ότι χρειάζονται πολιτικές παρεμβάσεις ώστε οι υγιεινές διατροφικές επιλογές να γίνουν πιο προσιτές. «Η συνολική μας διατροφή έχει μεγαλύτερη σημασία για τον κίνδυνο καρκίνου από οποιαδήποτε μεμονωμένη κατηγορία τροφών», είπε.
Με πληροφορίες από The Guardian, lifo.gr
